
Troubles de l'ATM
Notre clinique propose des traitements pour les troubles de l'articulation temporo-mandibulaire (ATM) afin de soulager la douleur et restaurer la fonction.
Le chirurgien maxillo-facial joue un rôle important dans le traitement des désordres temporo-mandibulaires (DTM), qui sont des affections affectant les articulations temporo-mandibulaires et les muscles qui contrôlent le mouvement de la mâchoire. Cela peut se manifester par différents symptômes allant de douleurs orofaciales, une interférence ou une limitation dans l’ouverture, un blocage en position fermée ou ouverte ou encore des cliques et craquements articulaires. Le chirurgien maxillo-facial est formé pour évaluer et diagnostiquer les DTM, en utilisant des techniques d'examen clinique, d'imagerie médicale (comme la radiographie, l'IRM ou la tomodensitométrie) et parfois des tests spécialisés pour évaluer la fonction de l'articulation temporo-mandibulaire.
Dans de nombreux cas, les DTM peuvent être traités avec des approches conservatrices telles que des exercices de physiothérapie, des modifications du mode de vie, des plaques occluses, des médicaments anti-inflammatoires ou des relaxants musculaires. L’injection de Botox peut également être envisagée dans le traitement de bruxisme sévère ou de douleurs musculaires éprouvantes.
Certains DTM par contre nécessiteront une approche chirurgicale en raison de leur nature ou de l’impact significatif qu’ils ont sur la fonction. En règle générale, le chirurgien tend à choisir l’approche minimalement invasive qui est la plus appropriée dans les circonstances. Cela peut impliquer une simple infiltration articulaire, une chirurgie sous caméra (arthroscopie; approche qui permet d’avoir accès et manipuler le contenu articulaire sans avoir à ouvrir) ou dans certains cas une chirurgie ouverte (arthrotomie). Les Drs Poirier et Badri détiennent notamment des expertises dans ces champs de pratiques de par leur expérience et leur surspécialisation.

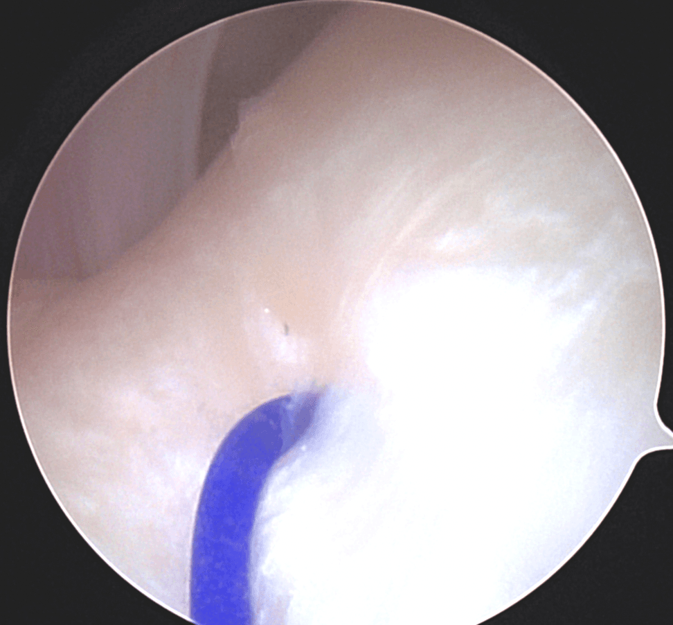
Chirurgie sous arthroscopie



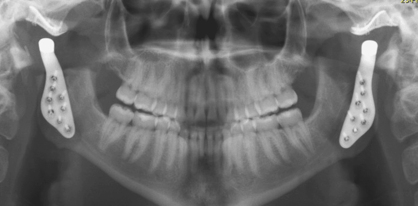
Remplacements articulaires


Contactez-nous
Contactez-nous pour prendre rendez-vous ou pour en savoir plus sur notre clinique de chirurgie maxillo-faciale à Montréal.
Clinique MesMaxillos
Bureau
Lundi-Vendredi: 8h00-16h30
456 Boulevard Saint-Joseph, Montréal, QC H2J 1J7
(514) 600-3349
info@mesmaxillos.ca
Map
Centre Dentaire Anjou
Bureau
Lundi-Vendredi : 8h00-16h30
6359 Jean-Talon Est, Bureau 201, Montréal, QC H1S 3E7
(514) 254-2000
info@mesmaxillos.ca
Map
Vaudreuil-Dorion
Bureau
Lundi-Vendredi : 8h00-16h30
486 Rue Chicoine #110, Vaudreuil-Dorion, QC J7V 7E4
(450) 455-1300
info@mesmaxillos.ca
Map
Hôpital Maisonneuve-Rosemont
Bureau
5415 Assomption Blvd, Montréal, Québec H1T 2M4
info@mesmaxillos.ca