
Extraction des dents de sagesse
Notre clinique propose l'extraction des dents de sagesse, une procédure chirurgicale courante pour retirer les dents de sagesse incluses ou problématique.
Aperçu de la procédure
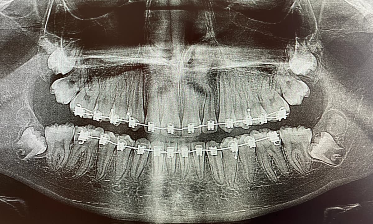
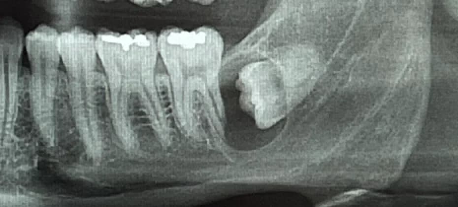
L'extraction des dents de sagesse, également appelées troisièmes molaires, est une procédure dentaire courante effectuée pour enlever les dents qui ne peuvent pas pousser correctement ou qui causent des problèmes dentaires. Elles sont généralement du nombre de quatre et font habituellement leur apparition en bouche entre l’âge de 15 et 25 ans. Elles peuvent faire complètement éruption, être partiellement éruptées ou incluses. Elles n’ont généralement pas assez de place dans la bouche. Ce faisant, elles sont très souvent mal alignées et exercent des pressions sur les dents adjacentes, pouvant même les endommager. L'extraction des dents de sagesse est souvent recommandée lorsque les dents sont incluses (piégées dans la gencive ou l'os) ou qu'elles causent des problèmes tels que la douleur, l'infection, la carie dentaire, le déplacement des autres dents ou le développement de kystes. Il est conseillé de procéder à leur extraction à un jeune âge, généralement à la fin de l’adolescence ou au début de l’âge adulte. Effectivement, les risques s’accroissent avec l’âge et la convalescence est plus aisée à un jeune âge.



Contactez-nous
Contactez-nous pour prendre rendez-vous ou pour en savoir plus sur notre clinique de chirurgie maxillo-faciale à Montréal.
Clinique MesMaxillos
Bureau
Lundi-Vendredi: 8h00-16h30
456 Boulevard Saint-Joseph, Montréal, QC H2J 1J7
(514) 600-3349
info@mesmaxillos.ca
Map
Centre Dentaire Anjou
Bureau
Lundi-Vendredi : 8h00-16h30
6359 Jean-Talon Est, Bureau 201, Montréal, QC H1S 3E7
(514) 254-2000
info@mesmaxillos.ca
Map
Vaudreuil-Dorion
Bureau
Lundi-Vendredi : 8h00-16h30
486 Rue Chicoine #110, Vaudreuil-Dorion, QC J7V 7E4
(450) 455-1300
info@mesmaxillos.ca
Map
Hôpital Maisonneuve-Rosemont
Bureau
5415 Assomption Blvd, Montréal, Québec H1T 2M4
info@mesmaxillos.ca